
Largest genetic study on strokes reveals 22 new risk factors
The sample included more than 520,000 people from North and South America, Europe, Asia, Africa and Australia.
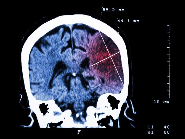
In case you missed it: Scientists at the University of Washington were among an international group that conducted the largest-ever genetic study on stroke. It involved DNA samples from more than 520,000 people and identified 22 new genetic risk factors for stroke.
The landmark research, published March 12 in Nature Genetics, triples the number of gene regions known to affect stroke risk.
“These findings may eventually lead to new drug targets for the prevention or treatment of stroke,” said Dr. Bruce Psaty, professor of medicine and epidemiology. .
Samples of 521,612 people from North and South America, Europe, Asia, Africa and Australia. Of this group, 67,162 had a stroke.
The study identified novel genetic risk factors for any stroke, any ischemic stroke and all major subtypes of ischemic stroke. About 80 percent of strokes are ischemic, which occurs when a blood vessel supplying the brain is blocked.
The results demonstrate shared genetic influences with other vascular conditions, especially blood pressure. Researchers also found genetic links to coronary artery disease and venous thromboembolism, a blood clot that forms in the veins (usually in the leg). The results suggest new biologic mechanisms for the development of stroke and could help scientists identify drug targets for prevention or treatment.
This content may be reproduced in part or whole. To interview Dr. Psaty, contact UW Medicine's media relations team: 206.543.3620; mediarelations@uw.edu
For details about UW Medicine, please see our About page.
Topics:stroke