
New oral contrast agent improves CT image visualization
In a clinical trial, the test contrast agent yielded better CT scans of bowel structures and disease when compared with current agents.Media Contact: Brian Donohue - 206-457-9182, bdonohue@uw.edu
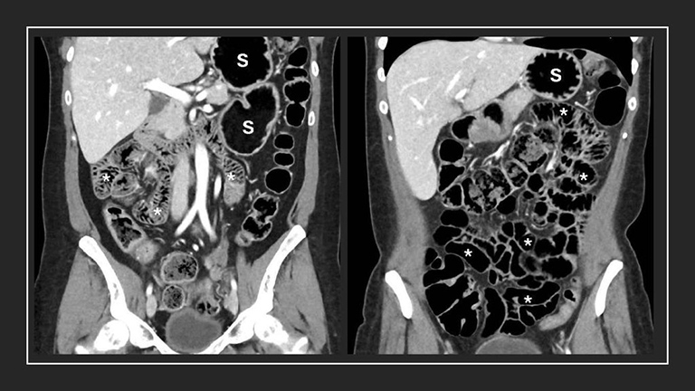
In a new pilot feasibility study, researchers from the University of Washington School of Medicine, the Mayo Clinic, the University of California San Francisco, and Nextrast Inc. found that a new imaging oral agent, also known as a "contrast agent," helps radiologists better see bowel structures and disease in CT imaging when compared with the current oral contrast agents.
"The novel dark borosilicate contrast agent has the potential to improve the assessment of numerous pathologies, including the detection of cancer and inflammatory disorders," said Dr. Achille Mileto, a radiologist at the University of Washington School of Medicine and the study's first author.
The introduction of a new oral contrast agent for CT imaging addresses common challenges in the diagnosis of bowel diseases, said Dr. Joel Fletcher, lead author on the study and medical director of the Mayo Clinic CT Clinical Innovation Center. "The new oral contrast agent," he explained, "is ingested by patients prior to CT imaging and helps detect pathologies within and outside of the bowel wall in ways current imaging agents do not."
In their paper, the authors report findings that suggest this new agent significantly improves visualization of inflammatory bowel disease (IBD) or cancer within the abdomen, and may provide earlier and more confident diagnoses.
The study compared CT scans of 32 patients with the dark borosilicate oral contrast agent and scans with conventional water or iodine-based oral contrast agents, to look at anatomical structures and disease presence.
Evaluators identified clinically relevant findings in seven patients that were not detected using the standard contrast.

"We carefully designed this new class of oral contrast agent to overcome many of the diagnostic shortcomings of existing contrast agents for a broad range of diseases," said Dr. Benjamin Yeh, a study coauthor and radiologist at the University of California at San Francisco. He also is a cofounder of Nextrast, which created the new agent. "The clinical Phase 2 results confirm that our dark agent can reveal previously impossible-to-detect findings, including very small bowel tumors and subtle inflammatory conditions that are often missed with conventional agents at CT."
CT scans performed with the new agent will likely do a better job of displaying pathologies in the stomach and proximal small bowel, areas where CT with traditional oral contrast performs poorly, Fletcher added.
"Pathologies within the lumen will be better displayed because the lumen is more distended, and the brightness of the pathologies on the CT images will be increased, making them more conspicuous," he said.
The researchers said further study using a larger patient population is needed, but the initial findings show promise.
Adapted from material written by Ethan Grove of the Mayo Clinic.
For details about UW Medicine, please visit https://uwmedicine.org/about.
Tags:radiology
